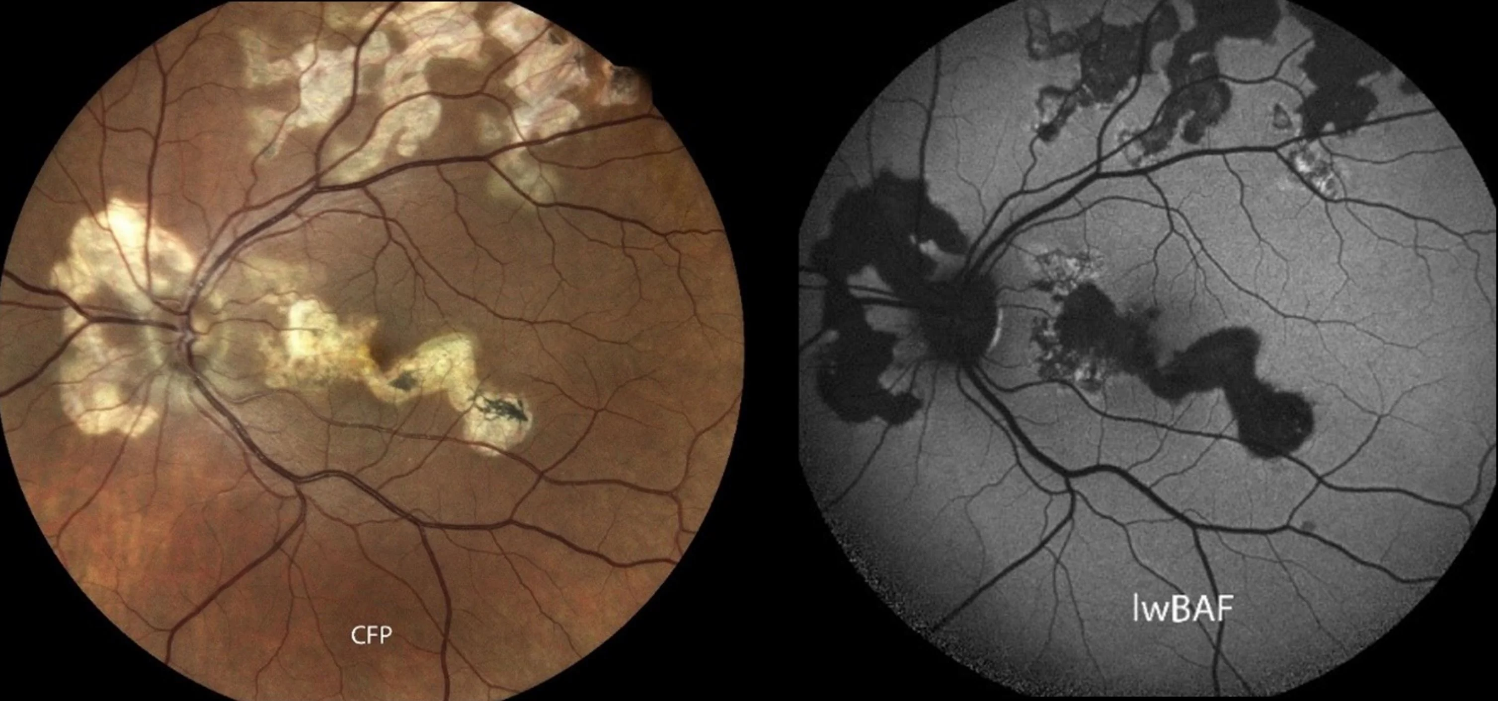
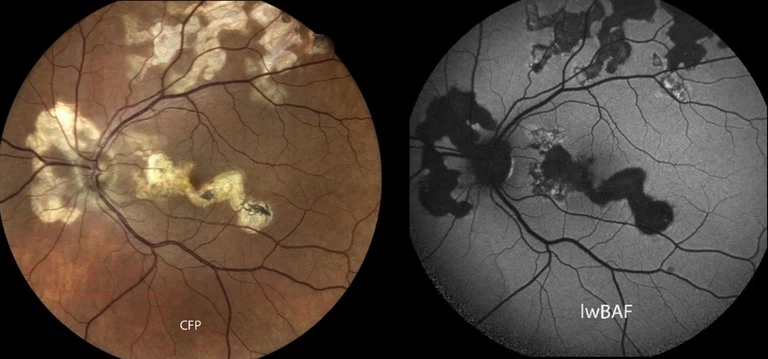
The picture shows an eye affected by the rare serpiginous chorioretinopathy.

The name comes from the "snake-like" spread of the disease across the retina. The ocular fundus photograph (left) shows areas of scarring in a light yellow tone. Active inflammatory lesions usually appear as light-colored areas on fundus autofluorescence (right).

The picture shows an eye affected by the rare serpiginous chorioretinopathy.
Download View full-size image
Wird geladen