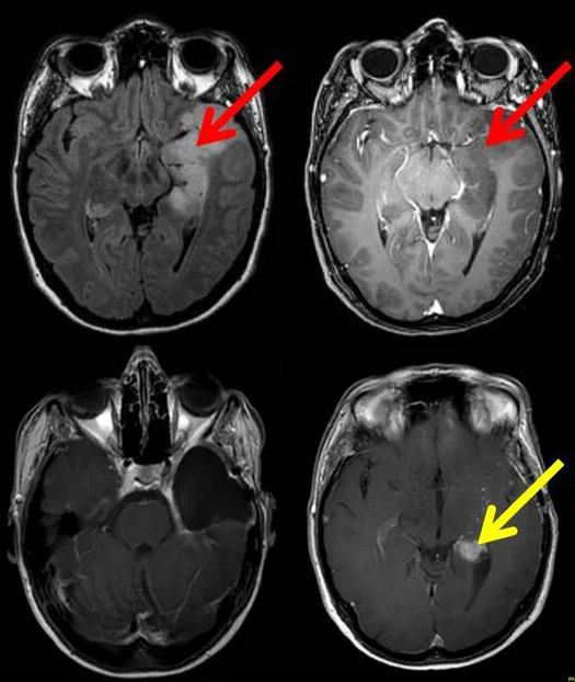
Bilder des Gehirns einer Patientin mit einem Gliom
(rote Pfeile; obere Reihe), das bereits zum Zeitpunkt der ersten Operation begonnen hatte zu entarten. Untere Reihe: Nachgewachsener, jetzt sehr bösartiger Tumor (gelber Pfeil).
(rote Pfeile; obere Reihe), das bereits zum Zeitpunkt der ersten Operation begonnen hatte zu entarten. Untere Reihe: Nachgewachsener, jetzt sehr bösartiger Tumor (gelber Pfeil).