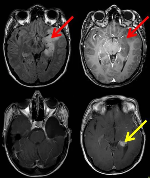
Bilder des Gehirns einer Patientin mit einem Gliom Zurück