13. September 2017

Asthma-Wirkstoff aus dem Gartencenter Asthma-Wirkstoff aus dem Gartencenter

Forscher der Universität Bonn testen eine Substanz aus den Blättern einer weit verbreiteten Zierpflanze

Die Korallenbeere könnte sich als Hoffnungsträger für Asthmatiker entpuppen: Forscher der Universität Bonn haben aus ihren Blättern einen neuartigen Wirkstoff gegen die weit verbreitete Atemwegs-Erkrankung gewonnen. In Mäusen unterbindet er nahezu vollständig die charakteristische Verkrampfung der Bronchien. Die Pflanze selbst ist nicht gerade ein Exot: Es gibt sie in jedem gut sortieren Gartencenter. Die Studie erscheint in der renommierten Zeitschrift „Science Translational Medicine“.

Am Gerät zur Atemwegswiderstandsmessung (von links):
Am Gerät zur Atemwegswiderstandsmessung (von links): - Juniorprofessorin Dr. Daniela Wenzel, Alexander Seidinger, Annika Simon und Dr. Michaela Matthey. © Foto: Katharina Wislsperger/Ukom-UKB
Alle Bilder in Originalgröße herunterladen Der Abdruck im Zusammenhang mit der Nachricht ist kostenlos, dabei ist der angegebene Bildautor zu nennen.
Bitte füllen Sie dieses Feld mit dem im Platzhalter angegebenen Beispielformat aus.
Die Telefonnummer wird gemäß der DSGVO verarbeitet.

Eine ausgesprochene Schönheit ist die Korallenbeere nicht. Das ändert sich in den Wintermonaten: Dann bildet sie auffällige leuchtend rote Beeren, die sie in dieser Zeit zu einer beliebten Zierpflanze machen. Die an der Studie beteiligten Wissenschaftler interessieren sich jedoch aus einem anderen Grund für die Pflanze: Die Blätter der Korallenbeere enthalten eine Substanz mit der kryptischen Bezeichnung FR900359. Man vermutete zwar, dass diese sich als Arznei gegen bestimmte Krankheiten eignen könnte. Dennoch wurde Ardisia crenata (so der botanische Name) von der Wissenschaft bislang weitgehend missachtet.

Forscher der Institute für Physiologie I, für Pharmazeutische Biologie und für Pharmazeutische Chemie der Universität Bonn haben nun zusammen mit Asthma-Spezialisten aus Nottingham (England) eine Arbeit veröffentlicht, die dies ändern könnte. Denn sie dokumentiert, dass FR900359 anscheinend äußerst effektiv verhindert, dass sich die Bronchialmuskeln zusammenziehen. Asthmatiker leiden regelmäßig unter sehr ausgeprägten Verkrampfungen der Atemwege. Diese verhindern, dass genügend Luft in die Lunge gelangt. Die resultierende Atemnot kann lebensbedrohlich sein.

Wirksamer als gängige Medikamente

Der neuartige Wirkstoff löst diesen Spasmus – und das anscheinend effektiver und langfristiger als das gängige Asthmamedikament Salbutamol. „Allerdings haben wir die Substanz bislang nur an asthmakranken Mäusen getestet“, erklärt Juniorprofessorin Dr. Daniela Wenzel. Wenzel forscht am Institut für Physiologie I der Universität Bonn zu Atemwegserkrankungen; sie hat die Studie geleitet.

Der Impuls, FR900359 zu testen, kam aus dem Institut für Pharmazeutische Biologie: Dort war es Wissenschaftlern gelungen, den Wirkstoff aus Blättern der Korallenbeere zu isolieren und zu charakterisieren. „Die Substanz hemmt eine zentrale Gruppe von Signalmolekülen in den Körperzellen, die Gq-Proteine“, erklärt Wenzel. Gq-Proteine übernehmen bei vielen Prozessen im Körper eine Schlüsselfunktion – auch bei der Steuerung der Bronchial-Muskulatur.

Normalerweise sorgt das Zusammenspiel verschiedener Signalwege dafür, dass sich die Atemwege verengen. Wenn man einzelne von ihnen hemmt, kann man die Verkrampfung der Atemwege mildern. Bei schwer asthmakranken Patienten lässt sie sich so jedoch nicht vollständig beseitigen. Die Signale laufen bei den Gq-Proteinen zusammen und aktivieren sie. Erst dann wird der Bronchial-Spasmus eingeleitet. „Wenn wir die Aktivierung der Gq-Proteine mit FR900359 hemmen, erzielen wir daher einen weit stärkeren Effekt“, betont Dr. Michaela Matthey vom Institut für Physiologie I.

Bei den asthmakranken Mäusen in der Studie funktionierte das ausgesprochen gut. „Wir konnten verhindern, dass die Tiere auf Allergene wie Hausstaub mit einer Verengung der Bronchien reagieren“, freut sich Wenzel. Nebenwirkungen gab es zudem kaum, da sich der Wirkstoff über die Atemwege applizieren ließ und so nur in geringen Mengen in den Blutkreislauf gelangte. Ob sich die Substanz auch zum Einsatz am Menschen eignet, ist dennoch nicht gesagt. Zwar konnten die Wissenschaftler bereits zeigen, dass menschliche Bronchialmuskelzellen in der Kulturschale sowie isolierte menschliche Atemwege ähnlich viel versprechend reagieren. Doch für die Anwendung am lebenden Menschen sind noch weitere Testreihen nötig, die sich über Jahre hinziehen können.

Dennoch ist die Arbeit schon jetzt ein großer Erfolg. Dieser kommt nicht von ungefähr: Die Deutsche Forschungsgemeinschaft (DFG) fördert an der Universität Bonn die Forschergruppe „G-Protein Signalkaskaden: mit neuen molekularen Sonden und Wirkstoffen zu neuen pharmakologischen Konzepten“. Ziel ist es, zentrale Signalmoleküle wie etwa die Gq-Proteine pharmazeutisch zu beeinflussen und so neue Therapie-Ansätze bei bestimmten Erkrankungen zu finden. Die Pharmazeuten und Physiologen der Universität kooperieren in dem Forschungsverbund eng miteinander; die aktuelle Studie ist ein Ergebnis dieser Kooperation.

Publikation: Michaela Matthey, Richard Roberts, Alexander Seidinger, Annika Simon, Ralf Schröder, Markus Kuschak, Suvi Annala, Gabriele M König, Christa E Müller, Ian P Hall, Evi Kostenis, Bernd K Fleischmann, Daniela Wenzel: Targeted inhibition of Gq signaling induces airway relaxation in mouse models of asthma; Science Translational Medicine; DOI: 10.1126/scitranslmed.aag2288

Kontakt:

Juniorprofessorin Dr. Daniela Wenzel
Institut für Physiologie I
Life & Brain Center
Medizinische Fakultät
Universität Bonn
Tel. 0228/6885216
E-Mail: dwenzel@uni-bonn.de

Prof. Dr. Bernd. K. Fleischmann
Institut für Physiologie I
Life & Brain Center
Medizinische Fakultät
Universität Bonn
Tel. 0228/6885-200
E-Mail: bernd.fleischmann@uni-bonn.de

Die Blätter der Korallenbeere
Die Blätter der Korallenbeere - (Ardisia crenata) enthalten den Naturstoff FR900359. © Foto: Raphael Reher/Daniela Wenzel/Uni Bonn
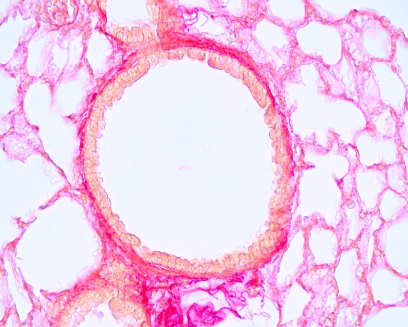
Der Wirkstoff
Der Wirkstoff - wurde in der Studie an Bronchien der Maus getestet. © Foto: Raphael Reher/Daniela Wenzel/Uni Bonn
Wird geladen