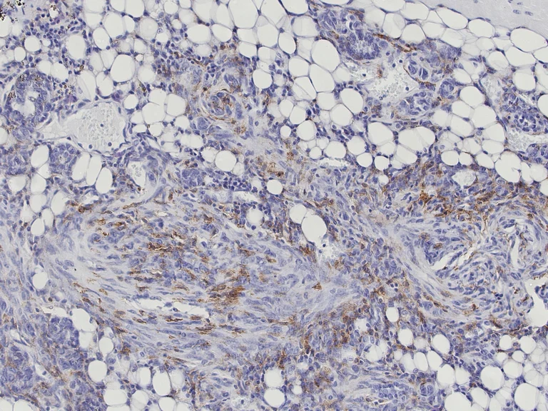
During tumor development,

macrophages (brown), the scavengers of the immune system, migrate into the diseased tissue (cancer cells: blue) without destroying it.

During tumor development,
Download View full-size image
Wird geladen