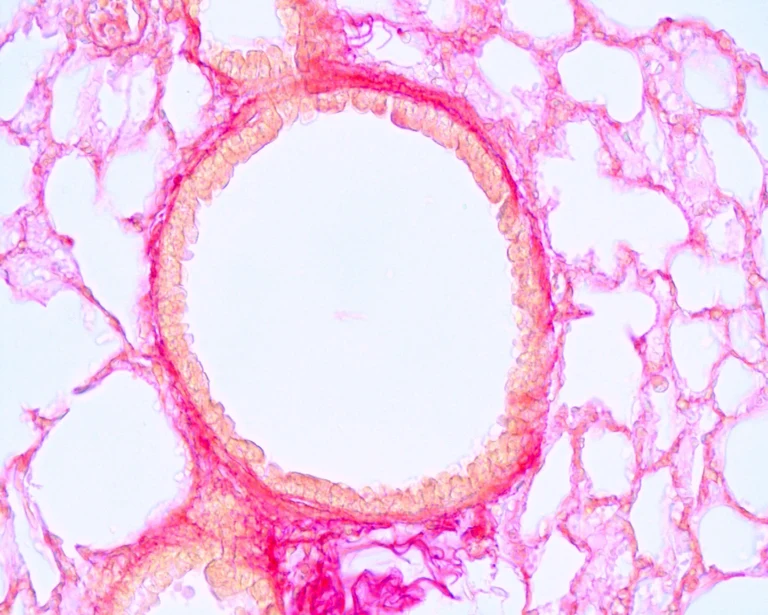
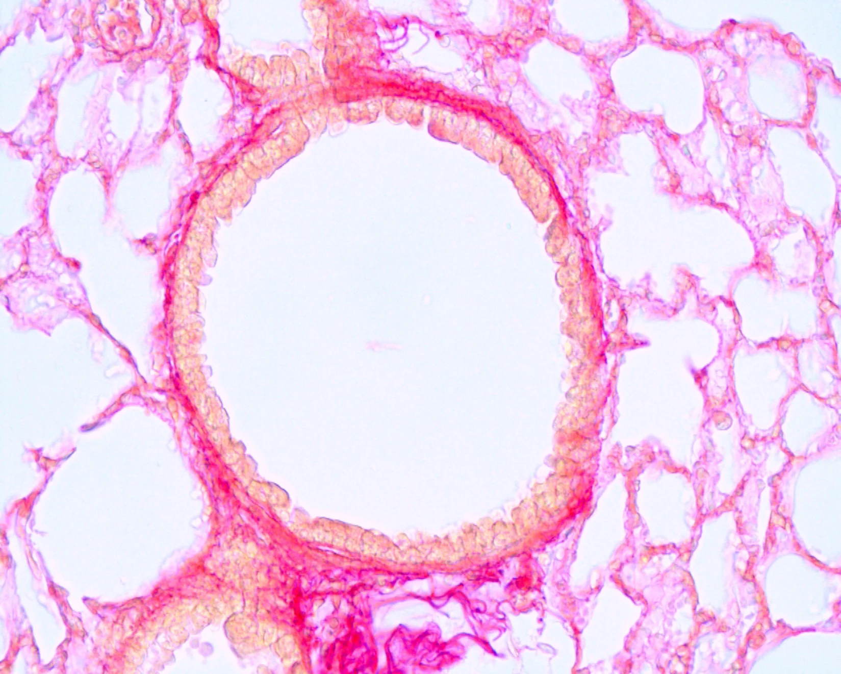
Der Wirkstoff wurde in der Studie an Bronchien der Maus getestet. der-wirkstoff.webp image/webp Typ image/webp Dimension Abmessungen 1649x1321 Size Dateigröße 213.8 KB Herunterladen Bild in voller Größe anzeigen…